審美的治療
-
ヒューマンブリッジ(歯をあまり削らないブリッジ)
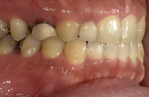
治療前

治療後

費用 300,000円(税別) 主訴 前歯の揺れが大きくなって心配になってきた 治療内容 生まれつき右上の前歯に乳歯しかない状態でしたが、徐々に揺れがひどくなってきたので抜歯してブリッジ(ヒューマンブリッジ:保険外)を装着しました。 治療期間 約3か月 リスク・副作用 清掃が不十分になると、二次虫歯が生じ外れたりしみたりする可能性があります。
強い力がかかると外れる可能性があります。総評 一般的なブリッジの大きな欠点に、両隣の歯を削らなくてはならないことがありますが、今回のヒューマンブリッジは歯を殆ど削らずにある程度外れにくいブリッジを装着することができます。
*費用は治療当時のものです
