小児矯正 6歳(男性)
-
小児矯正 6歳(男性)
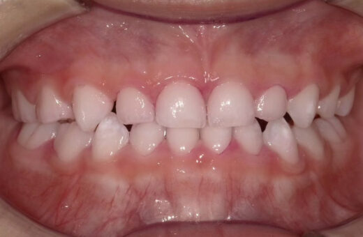
治療前

治療後

費用 88,000円 主訴 受け口が気になる 治療内容 反対咬合 治療期間 2023.11.25~2024.8.22 リスク・副作用 装置を一定時間使用しないと十分な効果が得られない
舌低位や嚥下時舌が突出していると反対咬合に戻る可能性がある総評 比較的早く反対咬合は解消された
今後はスペース不足の為拡大を検討する
case
症例紹介
治療前

治療後

| 費用 | 88,000円 |
|---|---|
| 主訴 | 受け口が気になる |
| 治療内容 | 反対咬合 |
| 治療期間 | 2023.11.25~2024.8.22 |
| リスク・副作用 | 装置を一定時間使用しないと十分な効果が得られない 舌低位や嚥下時舌が突出していると反対咬合に戻る可能性がある |
| 総評 | 比較的早く反対咬合は解消された 今後はスペース不足の為拡大を検討する |