インビザライン 22歳(男性)
-
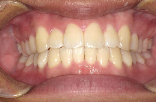
インビザライン 22歳(男性)
治療前

治療後

費用 440,000円 主訴 歯並び気になる 治療内容 Ⅰ級叢生、上顎前突、右切端咬合 治療期間 6か月 リスク・副作用 スポーツをしているため食いしばりあり、マウスピースを破損リスクあり 総評 咬合が改善し自分の口元に自信がもてるようになったとの事
case
症例紹介
治療前

治療後

| 費用 | 440,000円 |
|---|---|
| 主訴 | 歯並び気になる |
| 治療内容 | Ⅰ級叢生、上顎前突、右切端咬合 |
| 治療期間 | 6か月 |
| リスク・副作用 | スポーツをしているため食いしばりあり、マウスピースを破損リスクあり |
| 総評 | 咬合が改善し自分の口元に自信がもてるようになったとの事 |