インビザライン 21歳(男性)
-
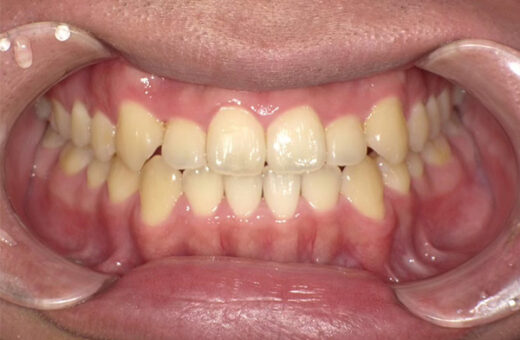
インビザライン 21歳(男性)
治療前

治療後

費用 440,000円 主訴 上顎前歯叢生が気になる 治療内容 クロスバイト 治療期間 10か月 リスク・副作用 上顎側切歯の動きが悪く期間が長くかかる可能性 総評 上下叢生ともに改善し食事しやすくなった
case
症例紹介
治療前

治療後

| 費用 | 440,000円 |
|---|---|
| 主訴 | 上顎前歯叢生が気になる |
| 治療内容 | クロスバイト |
| 治療期間 | 10か月 |
| リスク・副作用 | 上顎側切歯の動きが悪く期間が長くかかる可能性 |
| 総評 | 上下叢生ともに改善し食事しやすくなった |