インプラント
-
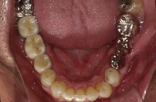
インプラント 70代(男性)
治療前

治療後

治療前

治療後

費用 インプラント治療800,000円 マウスピース矯正400,000円 虫歯治療100,000円(税別) 主訴 右下の義歯が合わない 治療内容 右下はインプラント治療を行って、違和感なくしっかり咬める様にしました その後、長年気になっていた上の前歯を治すことにしました。
その際に歯のねじれ(捻転)やでこぼこ(叢生)もきれいにしたいというと希望がありましたので、マウスピース矯正(インビザライン)を行いました。
歯並びを整えた後に悪くなっていた前歯の虫歯治療を行い、セラミックできれいに仕上げました。治療期間 インプラント治療12ヶ月 マウスピース矯正6ヶ月 虫歯治療8ヶ月 リスク・副作用 インプラントは定期メンテナンスでのプロフェッショナルケアとご自宅でのホームケアを正しく行わなければ、インプラントの周囲が炎症を起こし使えなくなる場合があります。
また、セラミックの被せ物やつめものは強度は十分ありますが、極端に固いものを咬んだり、強い力が加わると破損する可能性があります。総評 義歯が合わず食事に困っていましたが、インプラント治療のお陰で何でも食べれる様になったと喜ばれていました。
マウスピース矯正やセラミック治療で見た目が大変きれいになったばかりでなく、歯磨きもきちんとできるようになり再虫歯や歯周病の予防にも繋がったと思います。
*費用は治療当時のものです
