MENU
ご予約はお電話から
089-952-8214
無料メール相談
名前・住所をご記入(予約不可)
TOP
当院について
当院について
医師紹介
設備紹介
アクセス
施設基準
診療内容
一般歯科
小児歯科
小児矯正
歯周病治療
予防歯科
インプラント
口腔外科
審美的治療
ホワイト
ニング
治療例
よくあるご質問
求人案内
求人案内TOP
歯科医師
歯科衛生士
歯科助手
歯科ブログ
歯科ブログ
よくあるご質問
無料メール相談
名前・住所をご記入(予約不可)
089-952-8214
【月・火・木・土】
9:00~12:30 / 14:00~18:00
【水・金】
9:00~12:30 / 14:30~18:00
現在地からの経路を検索
case
治療例
TOP
治療例
インプラント
インプラント
インプラント治療 50代(女性)
治療前
主訴
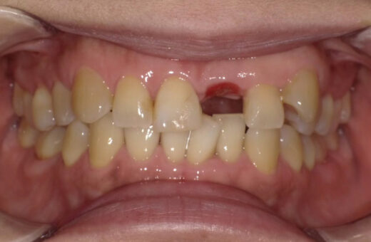
左上前歯が硬いものを噛んでしまって動いている
症例詳細
インプラント治療 50代(男性)
治療前
主訴
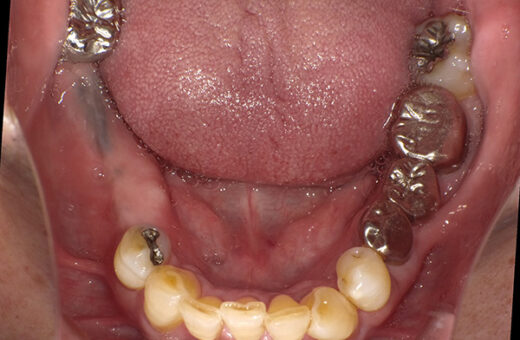
右下の銀歯が外れて来院
症例詳細
インプラント治療 60代(女性)
治療前
主訴
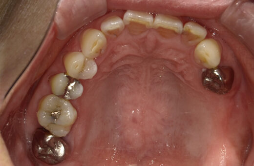
左上のブリッジが動いていて痛いので咬めない
症例詳細
インプラント 70代(女性)
治療前
主訴
他院で作った義歯が痛くて使えない
知人がインプラント治療をして良くなったと聞いたので検討したい
症例詳細
インプラント 70代(男性)
治療前
主訴
右下の義歯が合わない
症例詳細