デュアルホワイトニング(オフィス+ホーム)20代(女性)
-
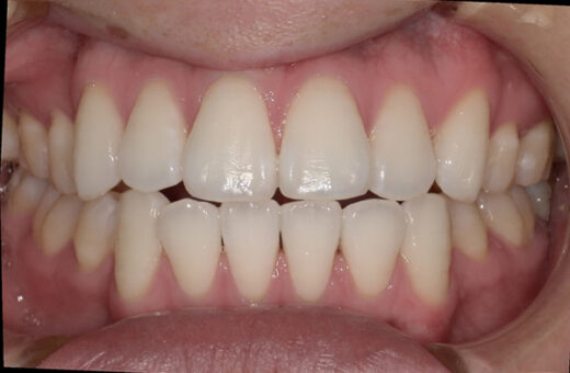
デュアルホワイトニング(オフィス+ホーム)20代(女性)
治療前

治療後

費用 50,000円(税別) 主訴 歯を白くしたい 治療内容 しっかり白くしたいとのご希望にて、オフィスホワイトニングとホームホワイトニングを併せて行うデュアルホワイトニングを行いました。 治療期間 3ヶ月 リスク・副作用 ホワイトニング中やホワイトニング後に冷たいものがしみる(知覚過敏)ことがあります。飲食物や時間の経過で後戻りすることがあります。 総評 12段階トーンアップ(A3.5→W2-3)
ホワイトニング効果に本人も満足され、今後は定期的にタッチアップ(白さを維持するホワイトニング)を続けていきたいと思います。
*費用は治療当時のものです
