MENU
ご予約はお電話から
089-952-8214
無料メール相談
名前・住所をご記入(予約不可)
TOP
当院について
当院について
医師紹介
設備紹介
アクセス
施設基準
診療内容
一般歯科
小児歯科
小児矯正
歯周病治療
予防歯科
インプラント
口腔外科
審美的治療
ホワイト
ニング
治療例
よくあるご質問
求人案内
求人案内TOP
歯科医師
歯科衛生士
歯科助手
歯科ブログ
歯科ブログ
よくあるご質問
無料メール相談
名前・住所をご記入(予約不可)
089-952-8214
【月・火・木・土】
9:00~12:30 / 14:00~18:00
【水・金】
9:00~12:30 / 14:30~18:00
現在地からの経路を検索
case
治療例
TOP
治療例
ホワイトニング
ホワイトニング
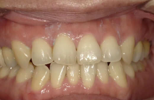
オフィスホワイトニング 10代(女性)
治療前
主訴
ホワイトニングで歯を白くしたい
症例詳細
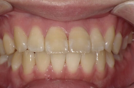
ホームホワイトニング 40代(女性)
治療前
主訴
犬歯の色を白くしたい
症例詳細
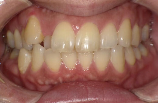
デュアルホワイトニング(オフィス+ホーム)20代(女性)
治療前
主訴
歯を白くしたい
症例詳細
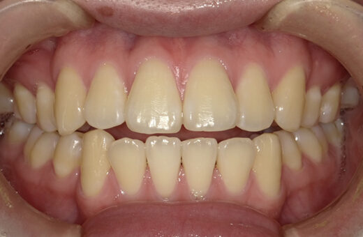
デュアルホワイトニング(オフィス+ホーム)40代(女性)
治療前
主訴
ホワイトニングをしたい
症例詳細
デュアルホワイトニング(オフィス+ホーム)40代(男性)
治療前
主訴
歯を白くしたい
症例詳細