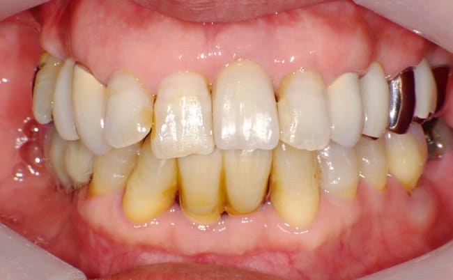
重度歯周病にて多数歯が欠損していた症例

  • 上下をインプラント治療できれいでしっかり咬めるように

    60歳 男性

    上下12本欠損

    費用:320万円

    • 治療前

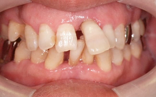
    • 治療後

    主訴 歯周病で歯が揺れて食事しにくい、前歯が出てきて見た目も悪い
    診査診断 重度歯周病による歯牙動揺と咬合高径の減少
    治療経過 歯周病治療後に保存不可能な歯を抜歯し、右の上下奥歯と上下前歯にインプラント治療を行いました
    治療結果 奥歯でしっかり咬めるようになり、見た目も改善した
    治療期間 2015年~2018年(歯周病治療も含む)

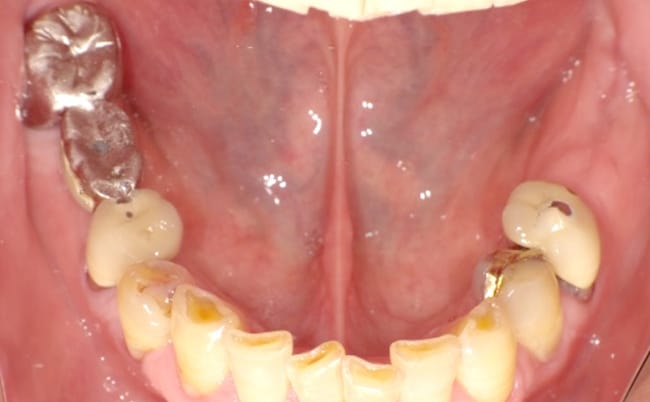
2歯が欠損していた症例

  • 左下奥歯2本のインプラント治療をジルコニアで修復

    58歳 女性

    下2本欠損

    費用:60万円

    • 治療前

    • 治療後

    主訴 左下に入れ歯を入れていたが、うまく咬めない
    診査診断 CT検査にて骨幅に問題がなかったため、骨造成なしの通常埋入可能
    治療経過 埋入手術後の治癒も良好で、約5か月でジルコニアによる被せものが装着できました
    治療結果 入れ歯の様に違和感や痛みもなく、粘着性の食事や固いものも自由に食べられるようになった
    治療期間 2019.2~2019.7

1歯が欠損していた症例

  • 左上奥歯1本のインプラント治療をセラミックで修復

    57歳 男性

    上1本欠損

    費用:40万円

    • 治療前

    • 治療後

    主訴 左上の歯が折れた
    診査診断 CT検査にて上顎洞までの距離に問題がなかったが、抜歯部の治癒が不十分なので骨造成が必要
    治療経過 埋入手術後の治癒も良好でしたが、骨造成を併用したので、約6か月待ってオールセラミックの被せものを装着しました
    治療結果 違和感もなく、前後の歯へ負担ををかけることなくしっかり咬める歯が装着できました
    治療期間 2018.2~2018.12